What causes subdural abscess?

Paranasal sinusitis is the primary cause of a subdural empyema in 50% to 80% of patients, and otitis media is the primary cause in 10% to 20%. Superficial infections of the scalp and skull, craniotomy, or septic thrombophlebitis from sinusitis, otitis, or mastoiditis may extend to the subdural space, causing empyema.

How is subdural empyema treated?

Treatment in virtually all cases of intracranial or spinal subdural empyema requires prompt surgical drainage and antibiotic therapy. Pus from the empyema should always be sent for anaerobic, as well as aerobic, culture.

How common is subdural empyema?

Subdural empyema accounts for 15-22% of focal intracranial infections. Sinusitis is the most common predisposing factor in the developed world. Frequency is similar to that in the Unites States. However, otitis media and mastoiditis are the most common predisposing conditions.

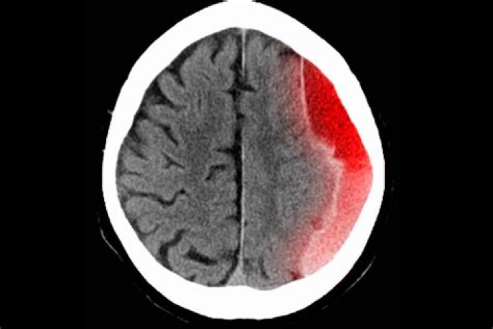
How is subdural empyema diagnosed?

Symptoms of subdural empyema include fever, vomiting, impaired consciousness, and rapid development of neurologic signs suggesting widespread involvement of one cerebral hemisphere. Diagnosis is by contrast-enhanced MRI or, if MRI is not available, contrast-enhanced CT.

What is the most common cause of a subdural empyema?

Subdural empyema most often occurs due to the direct extension of local infection. The infection can spread to the intracranial compartment due to the valveless diploic veins of Breschet. As a result, blood may flow in either direction, causing the spread of bacterial infection intracranially.

What is the difference between abscess and empyema?

Empyema is defined by purulent fluid collection in the pleural space, which is most commonly caused by pneumonia. A lung abscess, on the other hand, is a parenchymal necrosis with confined cavitation that results from a pulmonary infection.

What causes Cerebritis?

Cerebritis (or myelitis) develops with bacterial and fungal infections and may be secondary to meningitis, penetrating injury, or hematogeneous dissemination from systemic infection. Small collections of acute inflammatory cells indicate the start of a bacterial abscess (Fig.

What is epidural empyema?

Intracranial epidural abscess, less commonly called epidural empyema, refers to a pyogenic collection within the epidural space of the head. Spinal epidural abscess is discussed separately. Similarly to subdural empyemas, sinusitis is the most common cause of intracranial epidural abscesses.

What is the cause of empyema?

The most common cause of empyema is pneumonia caused by a bacterial infection of the lungs. An empyema can form when pneumonia fails to fully respond to treatment in a straightforward way.

What does empyema look like on xray?

On the chest radiograph, findings that suggest empyema, as opposed to lung abscess, include extension of the air-fluid level to the chest wall, extension of the air-fluid level across fissure lines, and a tapering border of the air-fluid collection.

What causes brain abscesses?

What causes a cerebral abscess? A cerebral abscess usually occurs when bacteria or fungi make their way into your brain, either through your bloodstream or from an infected area in your head, such as your ears or sinuses. An injury to your head or head surgery can also let in germs that can cause an abscess.