What is a normal umbilical artery Doppler?
The umbilical arterial waveform usually has a “sawtooth” pattern with flow always in the forward direction, that is towards the placenta. An abnormal waveform shows absent or reversed diastolic flow. Before the 15th week, the absence of diastolic flow may be a normal finding 6.
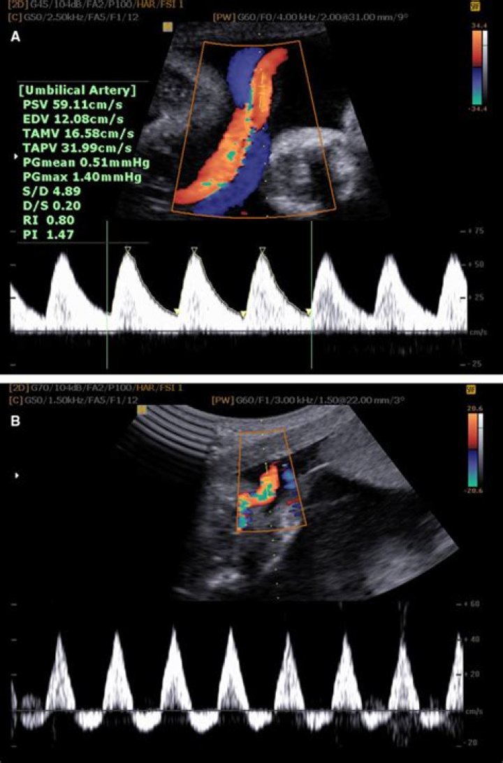
What is normal PI for umbilical artery?
Considering total 2nd and 3rd trimesters the mean PI value of umbilical artery was 1.24 (SD +/- 0.27). While considering the gestational in separate trimesters, study showed that the value of PI in 2nd trimester was 1.33 (SD +/- 0.29) and in 3rd trimester PI was 1.18 (SD +/- 0.25).
What is Ri ratio in pregnancy?
Resistive index ( RI ) = Peak systolic velocity − End diastolic velocity Peak systolic velocity. Systolic : diastolic ratio ( S : D ratio ) = Peak systolic velocity End diastolic velocity.
What is a normal SD ratio?
The systolic/diastolic (S/D) ratio of flow velocities was measured as an index of peripheral resistance. In normal pregnancy the umbilical artery velocity wave S/D ratio declined from 3.9 to 2.1 during the 20th to 40th week while the uterine artery S/D ratio remained constant between 1.8 to 1.9.
What causes high resistance in umbilical cord?
The vascular flow resistance in the umbilical artery (UA) decreases throughout pregnancy and further postdate (1, 2). An increase in flow resistance indicates placental dysfunction associated with intrauterine fetal growth restriction (IUGR) and impaired fetal outcome in cases of an abnormally high flow resistance (3).
What is RI and PI in Doppler?
Ultrasound. The parameters used in the assessment of uteroplacental blood flow include: RI = resistive index. PI = pulsatility index.
What does high PI mean?
Uterine artery PI provides a measure of uteroplacental perfusion and high PI implies impaired placentation with consequent increased risk of developing preeclampsia, fetal growth restriction, abruption and stillbirth. The uterine artery PI is considered to be increased if it is above the 90th centile.
What does RI mean on ultrasound?
Resistive index (RI) is (peak systolic velocity – end diastolic velocity)/peak systolic velocity; From: Diagnostic Ultrasound: Abdomen and Pelvis, 2016.
What does umbilical artery RI mean?
Vm = Mean velocity. The ratios (indices) of the resistance to blood flow (impedance) are calculated using the following formulas: S/D ratio = (systolic / diastolic ratio) Resistance index (RI) = (systolic velocity – diastolic velocity / systolic velocity)
How is Uteroplacental insufficiency treated?
Management. There is no available effective treatment for placental insufficiency, but treating any other conditions that may be present, such as diabetes or high blood pressure may help the growing baby. Once your doctor has diagnosed placental insufficiency, they may monitor you for hypertension.