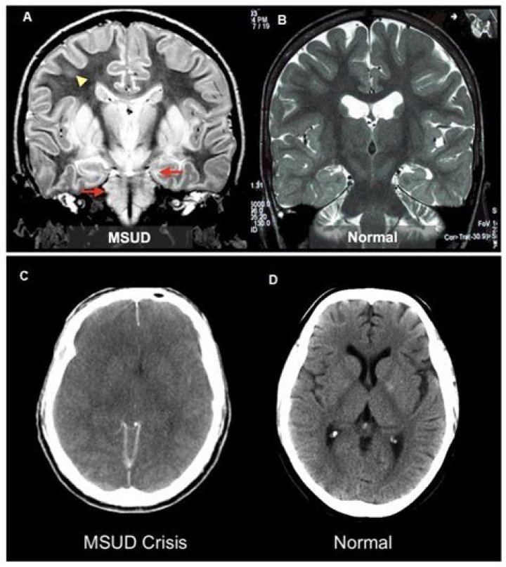
What is MSUD?

Maple syrup urine disease (MSUD) is a rare metabolic disorder that some babies are born with. It’s caused by a defect in the enzymes that break down some amino acids. Most newborn babies in the United States have their blood tested for MSUD as part of newborn screening.

How is MSUD treated?

The two main approaches to the treatment of maple syrup urine disease (MSUD) include (1) long-term daily dietary management and (2) treatment of episodes of acute metabolic decompensation. The mainstay in the treatment of maple syrup urine disease is dietary restriction of branched-chain amino acids (BCAAs).

What is a maple baby?

Babies with MSUD are unable to break down amino acids called leucine, isoleucine and valine. Very high levels of these amino acids are harmful. One of the characteristic symptoms of MSUD is sweet-smelling urine, which gives the condition its name.

How long do people with MSUD live?

If untreated, life-threatening coma or respiratory failure could occur within 7 to 10 days and most will die within several months. Upon any lapse of treatment, classic MSUD can cause brain damage.

Can you get MSUD later in life?

People with MSUD can grow into adulthood by following a strict diet and avoiding illness and stress as much as they can. While it is possible to manage the disorder with a protein-restricted diet and close medical supervision, people with MSUD are always at risk of having a metabolic attack.

Why does my 10 month old smell like syrup?

WHAT IS MSUD? MSUD stands for “maple syrup urine disease.” It is named for the sweet maple syrup smell of the urine in untreated babies. This condition is one type of amino acid disorder. People with MSUD have problems breaking down certain amino acids found in protein.

What does diabetic pee look like?

Diabetes can cause cloudy urine when too much sugar builds up in your urine. Your urine may also smell sweet or fruity. Diabetes can also lead to kidney complications or increase risk of infections of the urinary tract, both of which can also make your urine appear cloudy.

Why does my husband smell like maple syrup?

Maple syrup urine disease (MSUD) is a disorder in which the body cannot break down certain parts of proteins. The urine of people with this condition can smell like maple syrup.